Whether you had braces as a teen and didn’t wear your retainer, or you skipped out on the orthodontist altogether, it may be time for a straighter smile. Determining the right adult straightener for each person’s goals and lifestyle can be challenging, but the experts are here to help.
02: Lingual Braces
“Lingual braces are very similar to traditional wire and bracket braces, but they are placed on the inside—the tongue side—of the teeth instead of the frontal part,” Dr. Chase explains. This makes them a great option if you need braces but don’t want them to be too obvious. As the treatment evolves and a dentist makes adjustments, the metal wire and rubber bands are manipulated to encourage movement to the desired position, says Dr. Hoffman.
While it’s great that they’re hidden, Dr. Hoffman notes they can be tough to keep clean and potentially uncomfortable against the tongue. “This treatment generally lasts for one to two years or more,” he says. Dr. Almunajed notes that lingual braces tend to take longer than traditional braces because the movements are more limited. Be forewarned: A lisp is likely to come with this option. Some fade; others stick around for the whole treatment. “If the patient is comfortable with adjusting their speech and diet, and is OK to deal with the discomfort that the placement of lingual braces creates, then they should be considered a candidate,” says Dr. Hoffman. “This can be a good option for patients with minor bite issues. However, lingual braces are not for everyone, and patients with deep overbites will have issues as they are constantly popping off brackets,” adds Dr. Almunajed.
The pros definitely outweigh the cons.
03: Ceramic Braces
“Ceramic braces are also referred to as ‘clear’ braces. And as the name suggests, they are an alternative option for those looking for a more discreet way to move their teeth,” says Dr. Hoffman. “These, however, are not totally invisible—they are just less noticeable than traditional metal braces.” This treatment involves clear-colored ceramic brackets being attached to the fronts of the teeth with similar-colored wires threaded through. Then rubber bands are used during treatment to help move teeth into their ideal position over the course of one to three years. Dr. Hoffman notes that ceramic braces are less painful than traditional braces on the cheeks, gums and tongue, but not more comfortable in general. “The brackets used for ceramic braces tend to be larger than traditional metal brackets,” he adds.
“Patients with moderate orthodontic needs could benefit from ceramic braces, but those with more severe concerns should likely consider another option,” Dr. Hoffman says.
04: Metal Braces
Metal braces are the ones most of us had in middle school, featuring conventional stainless steel wires, brackets and rubber bands. The perfect candidates are “patients who want predictable results and have low aesthetic concerns during treatment, and those whose compliance issues would be a problem with a clear aligner like Invisalign,” says Dr. Chase.
Metal braces are incredibly effective and can handle almost every dental issue from moderate to severe, adds Dr. Hoffman. Additionally, they tend to be the most costeffective. But, metal braces can be uncomfortable and aren’t considered aesthetically pleasing, so they may not be favorable for adults. They also require diligent cleaning and careful eating, warns Dr. Chase. Expect to wear them for anywhere from a few months to three years.
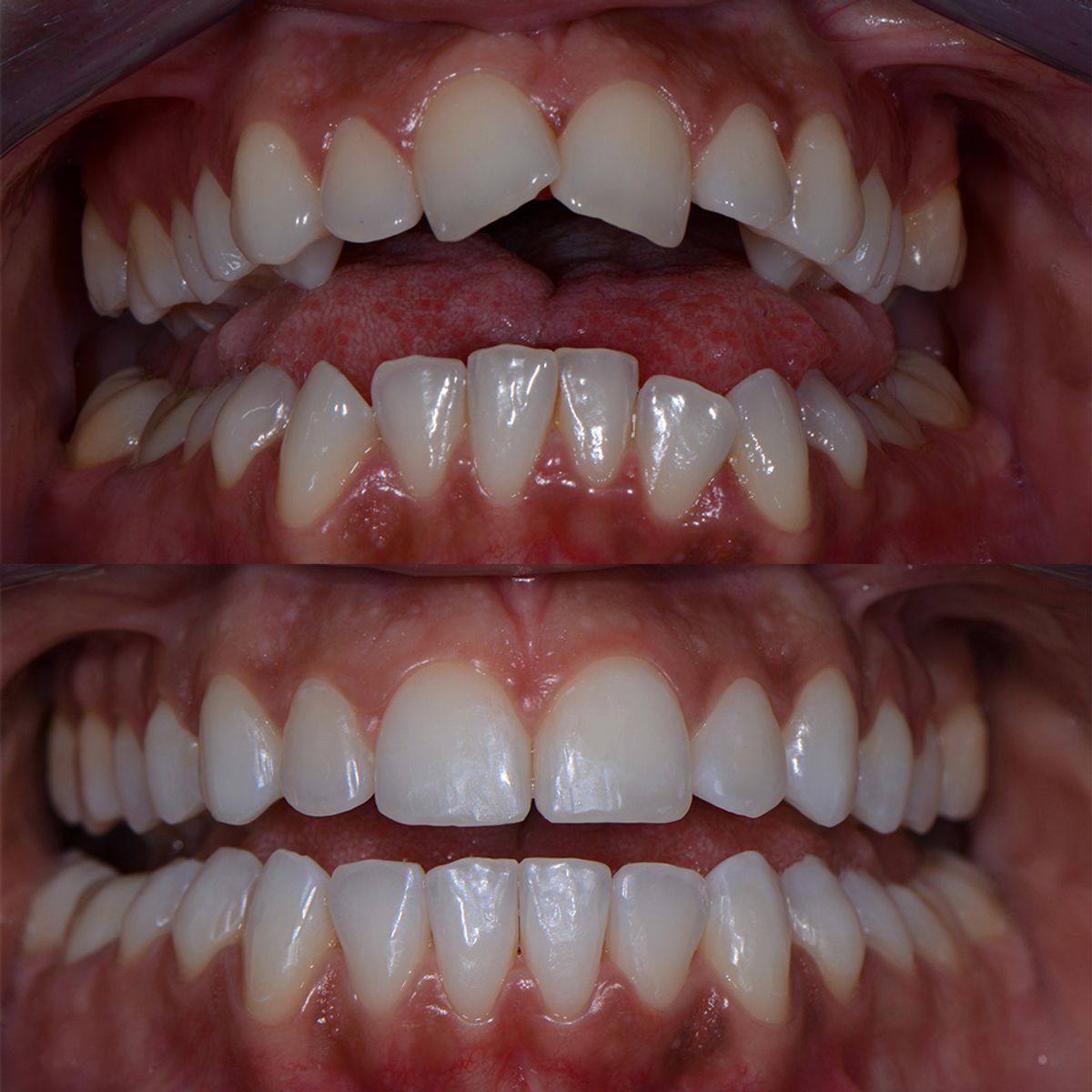
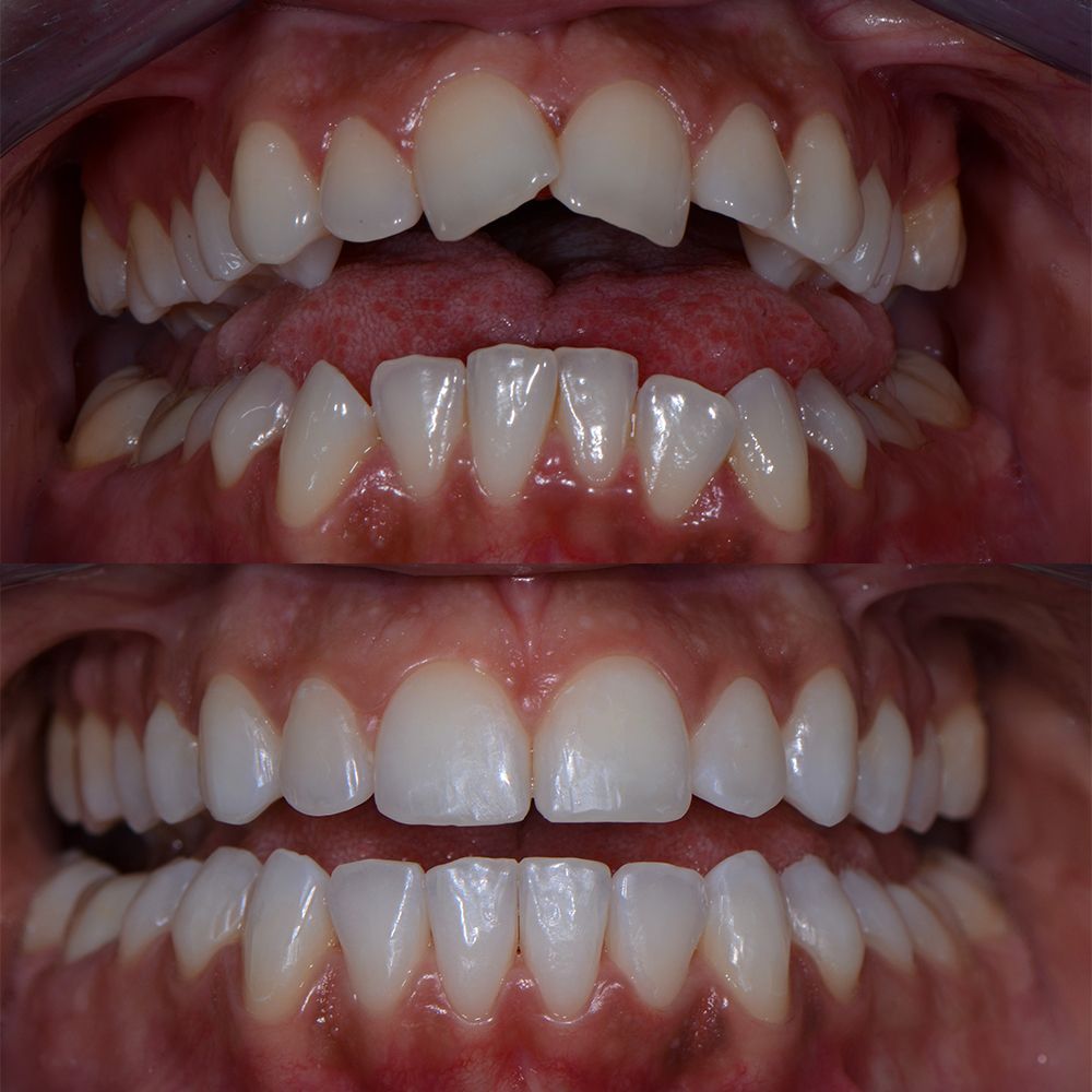
Veneers help make the smile more symmetrical and proportional.
06: Bonding
“It’s the fastest, easiest, most conservative way to straighten the teeth in one visit,” says New York cosmetic dentist Irene Grafman, DDS. “The procedure involves adding material to the existing teeth without removing any healthy tooth structure, and reshaping them to the length, shape and position desired. A dentist who specializes in bonding can straighten a smile by adding various thicknesses of material.”









