Just as masks have become an essential in our handbags, so have mints. While masks may do a great job at preventing the spread of diseases, one thing they don’t mask is bad breath. Here, cosmetic dentists share their top tips on how to freshen up from the inside out.
Unmaskable Halitosis
Since quarantine began, the ultimate breath detector has switched from our hands to our masks. “Masks have made us more aware of unpleasant breath,” says New York cosmetic dentist Nargiz Schmidt, DDS. “While they may allow us to detect when our breath might not be as minty-fresh as we think, unfortunately what they don’t reveal is how bad it actually is. Our oral cavities are connected to our noses through an opening in the back of our mouths, which filters out any bad smells, so we grow accustomed to our own odors.”
If you’re not sure about the status of your breath, Atlanta cosmetic dentist Ronald Goldstein, DDS says the solution is rather simple. “I ask my patients if they have noticed others moving away from them when speaking in a small group or one-on-one. That could be a real test,” he explains. Or, simply ask a (close) friend or family member if they’ve ever noticed anything unpleasant.
Mouthwash Myth
“So many people think you can cure bad breath by simply using mouthwash,” says Malibu, CA cosmetic dentist Bob Perkins, DDS. It can definitely mask the breath, but Charlotte, NC cosmetic dentist Patrick J. Broome, DMD explains that “if the odor is caused by dangerous issues in the oral cavity, you’re going to need more than just a simple swig of mouthwash to cure it.” The problems he commonly sees in patients with bad breath: decayed teeth, gum infections, oral bacteria, or tonsil stones.

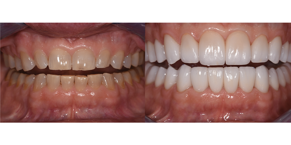
This 59-year-old patient sought Powell, OH cosmetic dentist Neal Patel, DDS for help with his decaying teeth, a main culprit for halitosis. His treatment included extractions and dental implants, which left him with a healthy smile.
Underlying Causes
While some people have halitosis due to underlying issues, Dr. Schmidt says it’s very uncommon. “Only 8 percent of bad breath cases stem from infections in the body, sinus problems or even hepatic disease,” she notes. “Most cases of halitosis stem from the oral cavity due to the buildup of food particles, otherwise known as plaque.”
Beverly Hills, CA cosmetic dentist Marjan Mirani, DDS explains that most of the time, what it really comes down to is the food we eat. “On the back of the tongue, there are a lot of small crevices that trap food particles,” she says. “The role of bacteria in the mouth is to eat these particles, and this process produces a sulfur gas, also known as VSC, or volatile sulfur compounds. That is the main cause of halitosis.”
Bare Minimum
“The simplest thing to know about oral care is how to brush your teeth,” says Dr. Mirani, who suggests brushing for three minutes both morning and night for the most effective result. Dr. Goldstein explains that the direction in which you brush plays a huge role in oral health, too. “Back-and-forth scrubbing tends to cause tooth erosion at the gumline, which can create loss of enamel and sensitivity.”
While brushing is a good solution for helping halitosis, it can’t do all the work. Proper flossing is also essential; however, the under-the-radar helper Dr. Mirani swears by is water. “The bacteria that cause bad breath grow much faster in a dry environment,” she explains. “Drinking half your body weight in ounces of water every day is very important.”
Most of my patients only brush for 45 seconds, but to beat halitosis, you must brush your teeth with an electric toothbrush for three minutes, both morning and night.
—Dr. Mirani
The Probiotic Secret
A 2007 study showed that people who took probiotics had decreased inflammation in the mouth. “The mouth is like any part of the body—it needs a combination of good bacteria and bad bacteria. Having good bacteria in the mouth kills off the bad bacteria—the culprit for gum disease and cavities,” says Dr. Mirani. Introducing probiotics to our oral routine can allow us to create a more balanced and healthier bacteria environment in our mouths. Dr. Mirani recommends sucking on a probiotic lozenge—she likes the chewable tablets from Hyperbiotics—before bed so it sits in the mouth for a longer period of time.
The Cures
Practice Healthy Hygiene
“Curing bad breath and reducing your chances for dangerous oral disease is as easy as removing plaque, which is done by practicing good oral hygiene,” says Dr. Perkins. The tools he suggests: floss and an oral irrigator, which cleans hard-to-reach places in the mouth.

Prospect, KY cosmetic dentist Sara Cummins, DDS eliminated recurrent decay that contributed to this 60-year-old patient’s bad breath, and redefined the shape of her teeth with porcelain crowns and veneers.
Dr. Mirani recommends using a tongue scraper. “Because bacteria compounds live on the back of the tongue, a tongue scraper is great for targeting that area and removing food particles once and for all,” she says. She also notes that the same bacteria that get stuck in the back of the mouth also get caught between the teeth, which is only accessible with floss. “Many people don't floss the very back of their teeth because they think food doesn’t get caught there; but that is far from the truth—that’s where the particles like to hide.”
Manage Dry Mouth
Dr. Perkins says plaque-eating bacteria is likely to come out when you’re least expecting them: while you’re asleep (hence the dreaded morning breath). “At night, your mouth tends to dry out, causing odor-producing bacteria to proliferate,” he explains. Simply using a tongue scraper and an electric toothbrush will help knock out the buildup of bacteria.
However, some patients tend to struggle with dry mouth even while they’re awake, which is where the temporary treatments can actually be advantageous. “Chewing gum and mints can temporarily decrease odor because they increase salivary flow,” says Dr. Schmidt. “But, I only recommend those to my patients who struggle with dry mouth. Mouth rinses that contain chlorine dioxide and zinc salts have a substantial effect on dry mouth, too.”
Chewing gum can temporarily decrease odor because it increases salivary flow.
—Dr. Schmidt
Avoid Triggers
There are a few foods to avoid if halitosis is a concern. “The main culprits are garlic and anything in the onion family,” says Dr. Goldstein, noting that eating these foods can cause more than just bad breath. “Some people notice that when they eat garlic or onions, the skin on their arms can start to release odor, too.”
Smoking is also a trigger for a stale aftertaste and smell. According to the American Dental Association, tobacco users are more likely to suffer from gum disease, which is caused by the buildup of plaque on the teeth—a breeding ground for bacteria, and therefore a major cause of halitosis. Smoking also affects sense of smell, so smokers may not be aware of how their breath smells (and non-smokers are already bad at detecting their breath to begin with).
















