Year over year of aesthetic data shows tweaking our eyes—through surgery, injections, energy-based treatments and eye creams—is a top priority. It’s easy to see why, with eyes serving as windows to the soul. Factor in pandemic-era considerations, including eyes-only exposure when making face-to-face contact and countless Zoom meetings, and the condition of skin around our eyes suddenly comes into razor-sharp focus. How to best address drooping eyelids, fallen browlines, and hollowed or puffy skin? As the experts share, the optics have never been better.
The Concern: Uneven Eyelids
THE CAUSE: From birth, everyone has some degree of asymmetry between eyelid creases, says Woodbury, NY oculoplastic surgeon David Schlessinger, MD, though the aging process can make these differences more pronounced. While less common, some cases of asymmetrical creases are caused by ptosis, trauma and eyelid surgery.
THE FIX: “For actual crease differences I think surgery is the best solution,” says Dr. Schlessinger. According to the surgeon, eyelid crease revision is the best option to address an imbalance from one eyelid crease to the next, correct outcomes of a previous eyelid surgery, or to create a double fold, when desired. “During the procedure, extra skin is removed and then sewn in a specific way to form an adhesion between the skin and the underlying muscle and create a new crease in the desired location,” notes Dr. Schlessinger. Results are typically permanent with minimal downtime: “Sutures are left in place for about a week. Patients can return to normal work afterwards.”


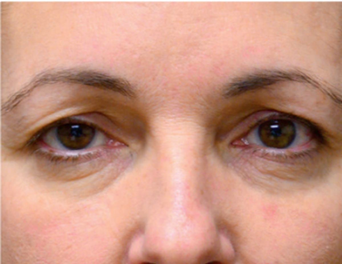
This 66-year-old patient was unhappy with upper-eye hooding and under-eye bags. She sought Tampa, FL oculoplastic surgeon Jasmine Mohadjer, MD for an upper and lower blepharoplasty and laser treatment.
The Concern: Droopy Upper Eyelids
THE CAUSE: Known as blepharoptosis, the fall of upper eyelids is commonly due to genetics and aging, though as New York oculoplastic surgeon Irene Gladstein, MD points out, this phenomenon can also occur as a sign of disease in the body, so it’s important that physicians look for and medically manage these causes before applying aesthetic solutions.
THE FIX: After ruling out underlying health issues, doctors may suggest a blepharoplasty, in which excess skin, muscle, and fat are removed and reshaped in order to give eyelids a lifted effect. If the dropping lids are connected to muscle ptosis (or the change in a muscle of the upper eyelid) nonsurgical options can also be explored. “Upneeq [an eye drop that can raise eyelids for up to six hours] is best used for patients with mild cases of acquired ptosis,” says Dr. Gladstein. “It’s a good alternative for those who are not yet ready for surgery.” Those with mild eyelid hooding can also benefit from Plasma Pen skin-tightening (although long-term evidence is needed). “Only trained eye professionals are able to approach the delicate skin around the eye with the needed knowledge and expertise,” she explains.


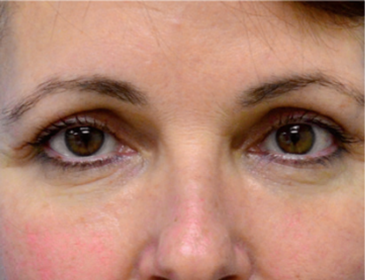
Dr. Schlessinger performed an upper blepharoplasty and ptosis repair to address this 56-year-old patient’s drooping eyelids.
The Concern: Fine Lines
THE CAUSE: Aging and lifestyle choices like smoking and sun exposure.
THE FIX: Blepharoplasty effectively smooths fine lines. But for a noninvasive way to tighten skin around the delicate eye area, Greenwich, CT dermatologist Lynne Haven, MD favors the resurfacing power of Thermage. “It is FDA cleared for the eyelids, is very safe, requires no downtime, and gives natural-looking results because it uses your body’s own collagen to do the tightening,” she says. Although more data is needed, Dr. Haven also has her eye on a recently FDA-cleared, but not yet commercially available, needling technology called micro-coring for tightening skin nonsurgically.


Using neurotoxin and filler, Dr. Fagien smoothed the fine lines and wrinkles around this patient’s eyes.
The Concern: Lower Eye Bags
THE CAUSE: Bags below the eyes are typically hereditary, but can be spurred by conditions that cause swelling, such as allergies, notes Dr. Mohadjer. Lifestyle choices, like excessive sun exposure, alcohol consumption and smoking can also intensify the formation of these bags. As the delicate skin under the eyes loosens with age and as fascia thins, the fatty tissue that normally resides behind the eye can come forward, causing puffy bags. In other cases, bags can form as a result of poor filler placement.
THE FIX: For patients who don’t show swelling, the appearance and texture of under-eye bags can be improved with fillers and lasers, Dr. Mohadjer says. Otherwise, surgery where extra fat is removed and repositioned from the inside of the lower eyelid can deflate bags—for a time, anyway. “Patients can redevelop bags in about 15 years or sooner with excessive smoking, drinking or sun exposure, allergies or certain medications,” she says, noting that surgery alone will not improve fluid retention. “Lasers can help tighten collagen and are good options for patients who tend to swell and have fluid retention concurrently.”


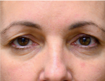
To treat this 69-year-old patient’s lower eye bags, Baton Rouge, LA dermatologist Ann C. Zedlitz, MD combined Ultherapy with Restylane injections in the tear troughs.
The Concern: Falling Brows
THE CAUSE: It’s natural for the browline to fall with age (though the effect can be more drastic in some, depending on genetics). However, New York plastic surgeon Mokhtar Asaadi, MD says a drooping of the brow can also occur as a result of poorly executed neurotoxin injections.
THE FIX: Surgeons have a handful of operative techniques to draw from in order to lift the brow for natural results to best fit any brow and face shape. Because of this, selection of a doctor with training and expertise in brow and eye procedures is key: the removal of excess skin can create tension that can lead to baldness along the hairline; taking too much skin elsewhere can result in an empty and aged look; raising the medial part of the brow (and its depressor muscle) can cause the eyebrow to look excessively wide. “This can result in a very unnatural look in which the patient appears to be surprised all the time,” Dr. Asaadi explains. For those looking for a lift without going under the knife, a small amount of neurotoxin expertly placed in the muscle can bring the tail of the brow down, while muscles of the forehead work to give a lifted look.


Dr. Asaadi rejuvenated this 55-year-old patient’s eyes with a minimally invasive browlift, an upper eyelid lift and under-eye filler.
The Concern: Under-Eye Hollows
THE CAUSE: As we age we lose bone density and tissue volume around the eyes. For reasons still unknown, we begin to lose some of the fat in our face beginning in our late twenties, and it’s this fat that helps make the lower eyelid and cheek appear full and seamless in our youth. “The fat loss in this area manifests itself as a distinct separation between the eyelid and the cheek,” Campbell, CA plastic surgeon R. Laurence Berkowitz, MD says. “This loss of fat around the orbit often gives the fat pads within the orbit a bulging appearance, which can create a sunken look.”
THE FIX: “Fillers are best suited for younger patients with thicker skin, good skin reflectivity, a small degree of contour disparity, and a shadow,” says Boca Raton, FL oculoplastic surgeon Steven Fagien, MD. While not FDA-approved, mirconeedling with PRP injections in the periorbital area may also help address hollowness in younger patients, says Delray Beach, FL dermatologist Francesca Lewis, MD. But in most cases, Drs. Fagien and Berkowitz suggest surgery for best results. Meanwhile, Dr. Berkowitz considers fat transfer the gold standard. “In my opinion, ‘like should be replaced with like’ and autologous fat is the preferred substance to restore youth.”


Dr. Gladstein contoured this patient’s under-eye area with Belotero Balance injections using a cannula technique.
Know Your Options
Like all aesthetic surgeries, there are a variety of techniques available, stresses La Jolla, CA plastic surgeon Robert Singer, MD. “The best option in any patient depends on accurately assessing the underlying anatomical cause of the problem and utilizing the most appropriate treatment depending on desired outcome and realistic expectations.”






